Final practical long case
This is an online E log book to discuss our patient's de-identified health data shared after taking his/her/guardian's signed informed consent. Here we discuss our individual patient's problems through series of inputs from available global online community of experts with an aim to solve those clinical problems with collective current best evidence based inputs.
32 YEAR OLD MALE With
CKD ON MHD
32 year old male, worker in an electrical industry in Mumbai came to the OPD, on 10/10/21 with right hip pain.
HOPI:
Patient was apparently asymptomatic 3years ago, then he developed pain in loin region for which he went to a private hospital in mumbai and was diagnosed with bilateral renal calculi and bilateral stents were placed (patient attender said that there was no problem in kidney function at that time). Patient had no problem after that and continued to work.
After 4-5months the stents were removed, just 1 week after stents were removed patient again had pain in his loin. He was taken to the same hospital and bilateral stents were again placed. (Patient attender said his s.creatinine values were 3-4 mg/dl, this time). Patient had no problem after that and continued to work.
About 1 year ago he developed multiple scaly, hyperpigmented plaques noted over trunk both groins and inner thighs, generalised necrosis (+).
Last year he returned to his home town, near nalgonda and started farming, few months after that his lost his elder brother(due to sudden cardiac arrest according to what patient said), after that he stopped using his medication.
On 10/10/21 (i.e, after 5-6 months after he stopped his medication) he presented with right hip pain and was brought to our hospital. He was found to have high creatinine values and was adviced to be on MHD.
From November,2021 he underwent 20 sessions of dialysis ( 2 sessions per week).
Since 1 month he is complaining of severe pain in his right hip and was unable to even get up from chair.
No c/o sob, facial puffiness, chest pain, palpitations, giddiness, decreased urine output, burning micturition.
PAST HISTORY-
Known case of Diabetes mellitus, was on Tab.Glimy M2 OD, but stopped using it after stents were placed.
Known case of Hypertension and on
T.LASIX 40mg PO BD
T. NODOSIS 500 MG PO BD
T. OROFER-XR PO OD
He was married 7 years back and doesn't have children. Did not consult any doctor regarding infertility.
Personal history
Sleep- Adequate
Appetite- normal
Diet- mixed
Bowel movement- Regular
Addictions- nil
On examination
Pt is C/c/c
Pallor ++
No Icterus ,Cyanosis, Clubbing,Lymphadenopathy
Edema of feet +
Vitals
Pr:88bpm
Bp:120/90
Spo2:97% at RA
Temp - Afebrile
Grbs - 166 mg/dl
Systemic examination
CVS - S1,S2 +
RS - BAE +
CNS - NAD
P/A- Soft, non tender
2/12/21
10/1/22
2/2/22

Provisional Diagnosis
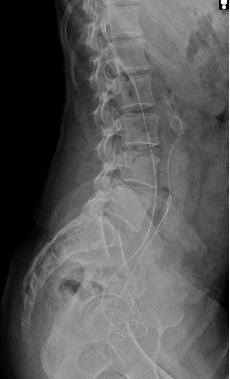
Multiple renal calculi largest measuring 13mm in right and 10 mm in left with B/L hydrouretronephrosis, Obstructive uropathy with tenia corposis et crusis with h/o Hypertension and Diabetes mellitus with left hip pain under evaluation
Treatment
Fluid restriction (<1.5l/day)
Salt restriction (<2g/day)⁸
T· LASIX 40 mg PO BD
T. NICARDIA 10MG PO BD
Inj. ERYTHROPOIETIN 4000IU SC weekly once
ZODERM CREAM L/A BD
Dialysis:
1st- 3/11/21
2nd-7/11/21
3rd-10/11/21
4th-13/11/21
5th-21/11/21
6th-24/11/21
7th-27/11/21
8th-30/11/21
9th- 3/12/21
10th-8/12/21
11th -16/12/21
12th-19/12/21
13th-23/12/21
14th-27/12/21
15th-30/12/21
16th-5/1/22
17th-10/1/22
18th-14/1/22
19th- 21/1/22
20th-31/1/22
21st-3/2/22
One unit of PRBC transfussion on 3/11/21
One unit of PRBC transfussion on 21/11/21.
One unit of PRBC transfussion on 23/12/21
One unit of PRBC transfussion on 3/1/22















Comments
Post a Comment